Quick Facts!
- Appointment Frequency: 2 to 3 visits for full treatment
- Allergy Risk: 100% biocompatible
- Material Used: Lithium Disilicate
- Longevity: 15 to 20 years
- Starting Price: 450 AED per tooth
- Pain Level: Very little to none at all
- Maintenance: Regular brushing and flossing
- Perfect For: Front Teeth
- Food Restrictions: Avoid extremely hard or sticky foods initially
Are your teeth stained, chipped, or slightly uneven? Does this hold back your smile during conversation and public appearances? But the good news is that achieving a uniform set of teeth is simpler than you thought. E-Max Veneers in Abu Dhabi offers a natural solution that can transform your teeth without compromising their strength. At Enfield Royal Clinic, we proudly offer these E-Max Veneers. This helps patients achieve the radiant smile they have always wanted. Let’s explore more details!
Table of Content
What are E-Max Veneers?
E-Max Veneers are ultra-thin and custom-made shells designed to improve the appearance of your natural teeth. E-Max is a brand name for a type of ceramic known as lithium disilicate glass-ceramic. They are bonded right over the front surface of your teeth. They are incredibly strong while also being extremely thin. E-max also has a translucent quality. This means that it perfectly mimics your natural teeth. They do not have that opaque or fake look you might worry about.
What Common Smile Issues Can E-Max Veneers Correct?
You will probably be thinking about what E-max Veneers can do for your specific situation. The beauty of this option is that it is a single solution for a handful of common cosmetic issues.
Below are some common issues E-max veneer can effectively fix:
- Stubborn Discoloration of teeth
- Worn or Chipped Edges because of accidental impact or grinding
- Mild misalignment
- Minor Gaps and Spacing between teeth
- Short or flat teeth
- Irregular Shape or Size
What is the Cost of E-Max Veneers in Abu Dhabi?
The original E-Max Veneers Cost starts from 1,000 AED per tooth. The true cost is determined by the number of veneers needed and the expertise of the cosmetic dentist. The prices may also go up depending on the quality of the material and the dental laboratory that makes these veneers.
Special Discount Offer: We are offering a discounted offer, and the E-Max Veneers will only cost you 450 AED per tooth. So hurry up and grab the opportunity now!
The Crucial First Step: Preparation
The ultimate success of your new smile is rooted in the planning and preparation phase. The first stage is a custom design process where you and your cosmetic dentist become creative partners. Here is how the preparation phase goes:
- Dental Assessment: The dentist will evaluate your oral health and discuss your aesthetic goals. He will confirm your gums and teeth are healthy enough for the procedure.
- Digital Imaging and Impressions: We take the digital and physical impressions of your teeth. These molds will help our master ceramist to cast accurate models.
- Shade Selection: The color of the veneers will be selected. They are carefully chosen to complement your skin tone and existing teeth.
- Minimal Tooth Shaping: The teeth receiving the procedure are prepared during the visit. A thin amount of enamel (less than 0.5 mm) is removed to make room for E-max material. This step makes sure the final veneers do not look bulky.
- Temporary Veneers: Temporary veneers are placed in some cases. This helps to protect your prepared teeth.
Step-by-Step E-Max Veneer Treatment Process:
The following are subsequent stages of your transformation journey:
Lab Fabrication:
The master ceramist takes over the laboratory after the preparation stage is done. They layer and press the durable lithium disilicate ceramic using detailed impressions and your approved wax-up model. This crafting process takes a couple of weeks and gives the product a strong finish and natural look.
Fitting and Adjustment:
We schedule an appointment when your custom E-max veneers arrive from the lab. Our cosmetic dentist places them temporarily to check how they look and feel. This stage is important as we want to meet your expectations perfectly. Minor adjustments can be made on the spot to guarantee optimal results.
Permanent Bonding:
We move to the bonding stage once you give the final approval. The tooth surface is cleaned and treated. A strong dental adhesive or cement is applied to the back of the veneers. Then they are positioned onto your teeth. This creates a strong bond that allows your veneers to function like natural teeth.
Final Plosh and Reveal:
We remove any excess cement and perform a final polish for a silky smooth finish. We check your bite to make sure there are no uncomfortable points of contact. At this point, your transformation is complete. You leave the line with a beautiful and durable smile.
What Should Be Done for the Aftercare:
Dental E-Max Veneers are effective and last for many years, possibly for a lifetime. But the candidate will be required to follow the tips to maintain the outcome. There are a few more tips that are required to follow, including:
- Rinse the mouth with dental floss
- Prevent smoking
- Minimize consumption of highly pigmented drinks like red wine and coffee
- Refrain from drinking alcohol
- Avoid eating hard food
- Schedule regular dental appointments
How Long Do the E-max Veneers Last?
We are happy to tell our valuable clients that the amazing part of the procedure is that it lasts for 15 to 20 years or even for a lifetime. Their lifespan can be extended further by maintaining good oral hygiene and maintenance. Their durability is due to the use of strong lithium disilicate ceramic.
Who Can Benefit from E-Max Dental Veneers?
E-max dental veneer is a powerful solution for anyone seeking a fast and lasting cosmetic upgrade. Here is who can benefit from this transformative technique:
- Individuals struggling with resisting staining on their teeth
- Those who have cosmetic issues rather than major dental problems
- Patients who want to avoid a lengthy orthodontic process
- Those who desire full smile symmetry
- Anyone who pruitioze strength and longevity
- A candidate who has healthy teeth and gums
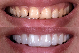
The Amazing Difference: Before and After
The first thing most people want to see is a transformation before considering any cosmetic treatment. The patient feels hesitation and self-consciousness before the procedure. The teeth of the patient slightly look mismatched or discolored, which makes them hold back their expression. The change after receiving the custom-fitted Emax veneers is immediate and life-changing. The “after results” are characterized by natural aesthetics and flawless brightness.
Here are amazing transformation photos that truly illustrate the outcomes of the procedure:

Emax Veneers Pros and Cons:
There are numerous perks and a few cons associated with the Emax dental veneers. They are as follows:
The Pros:
- Natural Appearance
- Durability
- Strong
- Highest Strength
- Exceptional longevity
- Stain-resistant
- Natural & Aesthetic results
The Cons:
- Irreversible Process
- Replacement, Not Repair
- Cost of Investment
E-Max Veneers vs Other Veneer Options
The table below offers a clear comparison to help you understand how E-max veneers compare to other commonly used veneer materials.
| Feature | E-Max Veneers | Porcelain Veneers | Composite Veneers | Zirconia Veneers |
| Appearance | Natural with great translucency | Natural-looking but slightly less translucent | Good appearance but less refined | Strong and opaque |
| Material | Lithium disilicate ceramic | Porcelain | Composite resin | Zirconium dioxide |
| Best For | Front teeth and smile makeovers | General cosmetic improvements | Quick & budget-friendly cosmetic fixes | Back teeth or patients with heavy grinding |
| Longevity | 10–15 years or more | 8–12 years on average | 4–7 years | 15+ years |
| Comfort and Fit | Lightweight and comfortable | Comfortable with a proper fitting | Comfortable initially but may wear faster | Strong but may feel bulkier |
Why Choose Enfield Royal Clinic?
Our clinic is part of a global chain of the internationally recognized Enfield Royal Clinic group. We have over a decade of experience in aesthetic and dental care. We offer personalized smile transformations built on the foundation of excellence and trust.
Here is why patients confidently choose our clinic:
- Highly experienced Cosmetic Dentists
- Latest Technology and Techniques
- Exceptional Patient Experience
- Customized Smile Solutions
- International Standard Safety
- Affordable Prices
Ready to Transform Your Smile? Book Now!
You have learned about the superior strength and amazing results of E-Max Veneers in Abu Dhabi. Now it is time to take a definitive step toward showcasing your confident smile. Fill out the appointment form below to schedule your appointment. Or send a quick message on WhatsApp to start a chat and book your spot.
FAQ’s:
Are these Made Out of Metal?
E-max is 100% metal-free and biocompatible ceramic. This makes sure that healthy gum tissues are maintained.
I Have Badly Stained Teeth. Can E-max Veneer Help?
E-max is a fantastic option for masking deep stains. It provides a permanent and bright white finish.
Does the Lab Take a Lengthy Time to Make Veneers?
The fabrication process only takes 7 to 14 days to create the final product. This time is necessary for our ceramist to craft the best product to match your shape and shade.
Can Veneer Irritate my Gums?
Not at all. They are highly biocompatible and fitted correctly by an expert. We make sure your gums remain healthy through the process.
Can I Get Them on my Back Teeth?
The forces on the back teeth are much higher. We recommend an E-Max crown or a full Zirconia crown for the molar teeth.










Start