Quick Facts!
- Average Treatment Time: 18 to 36 months
- Pain Level: No pain
- Age Limitations: For all ages
- Discretion: Lingual and Invisalign are invisible
- Food Restrictions: Avoid hard and sticky foods
- Appointment Frequency: Every 4 to 8 weeks
- Oral Health Benefits: Improves chewing, speech, and gum health
- Retainer Requirement: Mandatory after treatment to maintain alignment
Are you feeling self-conscious every time you smile because of misaligned and crooked teeth? You are not alone. Many people face similar issues, and they often begin searching for a solution. The good news is that modern orthodontic treatment can easily reshape your smile. Enfield Royal Clinic specializes in providing high-quality Dental Braces in Abu Dhabi. We offer everything from traditional metal braces to nearly invisible Invisalign options. Explore more to discover how our DOD-licensed orthodontists can help you!
Table of Content
What are Dental Braces?
Dental braces are custom-designed appliances that an orthodontist uses to gradually correct misalignments in the teeth. These tools are constantly nudging your teeth into their ideal position. They are also called orthodontic braces.
How Do Braces Work?
The braces work by applying continuous and light pressure over time. This pressure causes the bone structure surrounding your teeth to slowly remodel. This breaks one side and rebuilds the other side. And allows the tooth roots to shift safely. The science behind your teeth relies on three main components working in harmony:
- Brackets: These are bonded to the surface of your teeth and act as secure anchor points.
- Archwire: The archwire connects these brackets and serves as the “engine” that directs movement.
- Ligature: They are small elastic bands that hold the archwire firmly in the bracket slots.
Regular adjustment with your qualified orthodontist is crucial. They change the tension of the wire and your teeth through the next stage of their beautiful transformation.
Cost of Dental Braces in Abu Dhabi:
The Dental Braces Cost starts from 2,000 AED. The cost is heavily dependent on the type of braces and the complexity of your case. The final prices will be determined after the initial appointment with the specialist.
| Type | Original Prices | Offers |
| Metal Braces | 2,000 AED |
|
| Ceramic Braces | 4,000 AED |
|
| Lingual Braces | 14,000 AED – 27,999 AED | – |
| Invisalign Braces | 7,999 AED – 19,999 AED | – |
Common Dental Issues That Braces Can Resolve:
The following are the most prevalent dental issues that braces can fix:
- Crowding: Insufficient spaces in the jaw that cause teeth to overlap or twist
- Spacing or Gaps: Noticeable gap or spacing between teeth
- Overbite: Upper front teeth overlap the lower front teeth, which can lead to enamel wear or jaw discomfort
- Underbite: When lower teeth sit in front of the upper teeth. It may cause chewing challenges and speech problems
- Crossbite: One or more upper teeth sit inside the lower teeth when the jaw is closed
- Open bite: Upper and lower teeth don’t meet when the mouth is closed
Types of Braces Available:
Modern orthodontics offers several outstanding options that fit nearly every lifestyle and aesthetic preference. Those days are gone when traditional metal was your only choice!
Below are mentioned the types of braces that are available at our clinic:
Traditional Metal Braces:
These braces consist of brackets and wires that are metal wires. The latest wired metal braces are smaller and less visible. In addition, they even feature heat-activated archwires that utilize the heat of your body to ease the working and the movement of the teeth in a faster and pain-free way. The process is cost-effective and has various colorful bands, which means the process permits the candidate to get a personalized color of bands.
Ceramic Braces:
These are the same as metal braces; their feature is that their color is the same as the teeth or brackets, which are clear and blend in well with the teeth for a minimally noticeable appearance. In addition, these are a great option for those who are interested in fast and immediate outcomes.
Lingual Braces:
Lingual braces are identical to metallic braces. But they are positioned on the inside of the teeth. This makes it unnoticeable from the outside but it could be a little difficult to clean and can be uncomfortable as well.
Invisalign Braces:
These types of braces are clear and transparent. These braces can be customized and are replaced every 14 days. They permit the candidate to eat and drink whatever the clients are appealing to and are virtually invisible. Furthermore, they are a bit costly and are perfect for teenagers and adults.
Process of Getting Braces:
Getting dental braces is a personalized and structured process guided by our expert team. Here is what you can expect when you embark on your orthodontic transformation:
Consultation and Diagnosis:
The journey starts with a detailed consultation with an orthodontist. He will assess your goal and needs. A comprehensive oral examination will be conducted. This includes taking digital X-rays and 3D scans of your mouth.
Treatment Plan:
The orthodontist creates a tailored plan based on your records. All strategy and appliance types will be discussed with you. You will review and approve the plan before the proceeding.
Preparation:
The preparation is the next step after selecting the type of braces you want. Your teeth will be cleaned and conditioned. This is important for brackets to bond securely.
Placement:
The placement process is simple and comfortable. The specialist uses a special adhesive device to bond each bracket to the center of your teeth. The archwire is then threaded through the bracket. Then it is secured with elastic ligatures or clips.
Adjustments:
This is the main phase where the real transformation happens. You will go to the clinic every 4 to 8 weeks based on the type of braces. Your progress will be monitored by the dentist. He will then replace the archwire and modify the tension so that your teeth continue to move as intended.
Oral hygiene:
Keeping good oral hygiene is paramount at every stage. You will be given instructions on how to properly brush and floss while wearing braces.
Removal and Retention:
This is the finishing line of your procedure. Your braces will come off when your teeth are perfectly aligned. A retainer will be custom-made for you. They can be either fixed or removable. This will make sure your teeth stay in their new positions.
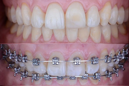
Incredible Before and After Results:
The results of modern dental braces are nothing short of a life-changing experience. The outcome is a demonstration of the precise planning and execution of our experts. You can truly expect noticeable improvement that enhances both appearance and oral health.
Check out the photos below and see the real transformation of our clients:

What is the Average Treatment Duration?
One of the regular questions that comes up before getting braces is “How long will I wear them?” The American Association of Orthodontists and general orthodontic literature state that a full course of orthodontic treatment generally lasts 18 to 36 months.
| Type of Braces | Mild Alignment Issues | Moderate Issue | Severe Issue |
| Metal | 12-18 months | 18-24 months | 24-36+ months |
| Ceramic | 14-20 months | 20-26 months | 26-36+ months |
| Lingual | 16-24 months | 24-30 months | 30-36+ months |
| Invisalign | 6-15 months | 15-24 months | 24-30 months (case dependent) |
Note: This is an estimated range based on clinical research. The treatment duration can be majorly affected by the following factors:
- Age
- Bone density
- Patient’s biological response
Orthodontics for Adults and Children:
Braces are no longer strictly for teenagers. Now modern orthodontics offers outstanding options for every age.
For Children: We call this early intervention. The early intervention helps to correct bite issues and reduce the complexity of future treatment. We would like to see children for their first orthodontic evaluation around ages 7 to 9.
For Teens (12-16): The teenage years are the most common and best time for full braces treatment. Their teeth are still developing, and that allows for efficient alignment.
For Adults: The treatment may take longer than for teenagers due to denser bone structure. But they can still achieve a straighter smile. The best option for them is ceramic or Invisalign braces.
Transformative Benefits of Getting Braces:
The following are some incredible benefits of working with our skilled orthodontists and getting braces:
- Improved smile aesthetics
- Elevating confidence and self-esteem
- Improvement in oral hygiene
- Preventing Jaw Pain and Uneven Wear
- Better Digestion and Speech Clarity
- Reduced risk of dental complications
Why Choose Us?
Selecting the right clinic for your smile journey is a critical decision. This choice is just as significant as the actual course of treatment. Enfield Royal Clinic is a leading clinic in Abu Dhabi that focuses on delivering quality care to every patient.
Here is why we stand out as the leading choice for clients:
- Experienced and Certified Orthodontists
- Modern Technology and Advanced Techniques
- Transparent and Affordable Pricing
- Personalized Treatment Plan
- Supportive Environment
Get Started With Your Consultation Today!
Ready to start your journey? Fill out the appointment form below and take your first step. We are waiting to welcome you and map out your personalized treatment path for Dental Braces in Abu Dhabi. You can also get in touch with our team straight away via WhatsApp or phone to arrange your consultation.
FAQ’s:
Is a Retainer Important for Long-term Results?
The retainer is absolutely vital. There is a risk of your teeth shifting back to their original position when the orthodontics are taken off. The purpose of the removable retainer is to stabilize the teeth.
Is the Process Painful Like Surgeries?
The complete procedure is not painful at all. You do not even need any type of anesthesia. You might feel temporary tightness or soreness after getting braces.
Is it Too Late for me to Get Braces?
Not at all. If your bones and gums are in good condition, you can get your teeth fixed at any age. There's no strict age restriction.
Are there any Kind of Restrictions on Eating Specific Types of Food?
You can eat whatever you want during your period of braces wear. But it is recommended to avoid hard and sticky food. Because hard food can break a bracket, while sticky things can pull the wires.
How Do I Brush my Teeth Properly?
It takes extra effort to brush your teeth. We teach special techniques using small brushes and recommend using orthodontic floss threaders or a water flosser.
Is Orthodontic treatment Covered by Insurance in Abu Dhabi?
Coverage differs greatly between insurance companies and specific policies. Some offer partial coverage for children. We strongly recommend you check out the policy details.








Start