Quick Facts!
- What They Are: Artificial tooth root
- Primary Function: Permanent foundation for prosthetic tooth
- Core Material: Titanium
- Success Rate: 95% to 98%
- Longevity: Last lifetime (25 or more) with proper maintenance
- Price Range: 2,000 AED to 4,500 AED
- Healing Time: The integration period usually requires 3 to 6 months
- Age Suitability: Adults with developed jawbones
Are you hiding your smile because of damaged or missing teeth? It is more than cosmetic issues that can also affect your daily life. The encouraging news is that the permanent and genuine solution is closer than you think. Dental Implants in Abu Dhabi offer a life-changing and proven treatment for missing teeth. Our experts at Enfield Royal Clinic are dedicated to restoring both your smile and confidence. Continue reading to uncover more info!
Table of Content
What is a Dental Implant?
A dental implant is a permanent option that replaces a missing tooth in the most realistic and convenient way possible. The implant itself is a biocompatible screw that is usually made of titanium. The screw is surgically placed into the jawbone right beneath the gum line. The bone in the jaw naturally fuses with the implant in a process called osseointegration. This creates a solid and firm anchor, much like a real tooth root. Then a small connector called an abutment is attached, and finally a customized ceramic crown is placed on the top.
Type of Dental Implant:
Dental implants are divided into types depending on their placement, material, and restoration. The details of these categories are given below:
By Placement:
- Endosteal implants:
They are the most popular type of implants used for the majority of patients seeking teeth replacement. They are cylindrical screws placed right into the jawbone. This is usually a preferred method because it offers stability and success rates.
- Subperiosteal implants:
This type is considered for those who do not have healthy bone mass to support the endosteal type. This option involves a custom metal framework that fits on the top of the jawbone but under the gum tissues.
- Zygomatic implants:
It is an advanced technique used when patients have experienced severe bone loss in their upper jaw. These longer implants extend from inside the mouth into the zygomatic bone.
By Material:
- Titanium implants:
Titanium is the most widely used and gold standard option. It is lightweight and highly durable. They are also biocompatible and integrate well with the bone.
- Zirconia implants:
This is a ceramic option. It is preferred by patients who have metal sensitivities or those who seek metal-free restoration. Its white color also reduces the risk of a gray color showing through a thin gum line.
By Restoration:
- Single Tooth Implant:
A single implant is used to restore one missing tooth without affecting the adjacent one.
- Implant-Supported Bridges:
When several missing teeth are next to each other, two or more implants are placed to support a bridge (a row of crowns).
- Implant-supported Dentures:
They are an upgraded version of traditional removable dentures. They offer a level of stability and comfort that feels closer to natural teeth. These dentures are fixed onto the set of dental implants.
- All-on-4 implants:
The type is for those people who have lost most or all of their teeth. This employs four precisely positioned implants to support a full arch of replacement teeth.
How Much Do Dental Implants Cost in Abu Dhabi?Â
The Dental Implant Cost ranges from 2,000 AED to 4,500 AED per tooth. The prices may go up or down depending on the number and type of implants you are having. The other factors that impact the prices are the expertise of the clinic and the preparatory procedures.Â
A Quick Note: The cost only covers the implant cost and does not include the price of the crown.
Techniques to Enhance Implant Success:Â
A stinger foundation is needed before we place the tooth implant. Sometimes there isn’t enough solid bone to securely hold the implant. The procedures below help to regenerate and stabilize the bone.
Bone Augmentation:
When the jawbone does not have enough density or volume to keep the procedure going, extra bone is utilized, also called bone grafting. Bone additives are used to support the methodology.
Sinus Lift:
This is the addition of bone between the molars & premolars when the upper jawbone is weak. In this treatment, the sinuses are set aside to do the procedure.
Ridge Expansion:
This method is also applied when there is a shortage of the jawbone. Then the ridge bone is cut inside and from the outside to proceed with the therapy.
Step-by-Step Procedure:Â
Here is a complete procedure for dental implants in a professional clinical setting:
- Before the procedure, the certified Dentist in Abu Dhabi will do some preparation for the convenience of the treatment, such as measuring the size of the screw and shaping the tooth according to the patient’s original tooth size.
- When the specific tooth is formed, the dentist will use the method. To begin the method, the doctor will first use anesthesia on the patient and then insert the metal screw into the jaw.Â
- Then, the gum will be parted by a cut, and with the aid of a drilling apparatus, a hole will be created inside the jawbone of the requisite size, then the implant will be set on that screw, and the lower portion of the implant will be sealed.
- The process will take a week or additional time to conclude, depending on the condition. The doctor will implant the crowns and prosthesis into the jawbone after a predetermined period of five to six months.
Tips to Protect Your Implants:
The longevity of your dental implants depends on how well you maintain them. Follow the guide below to maximize your results:
| Do’s | Don’ts |
| Brush twice a day | Smoke or tobacco products |
| Floss daily | Clenching or grinding your teeth |
| Schedule regular checkups | Bite on hard objects |
| Use an antibacterial mouth rinse | Sugary or acidic foods |
Durability and Success Rate of Dental Implants:
The general success rate for tooth implants is around 95% to 98% in a healthy person when performed by a skilled dentist.Â
- Research indicates that the five-year success rate of implant treatment is reported as high as 97.8%. It often remains successful for a decade or more with proper care.
- Another clinical study reported that the 10-year survival rate of dental implants is 96.4%. This estimate aligns with figures found in previous systematic reviews.
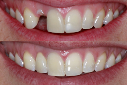
Real Results: Before and After
What matters most to the client is the outcome of the procedure. The receiver faces a series of frustrating issues before the treatment. The after results clearly show the difference the tooth implant can make. The new teeth blend seamlessly with the natural features and appear remarkably natural.
See the real results of our clients after the dental implant process:

Who Are the Ideal Candidates for Dental Implants?
The following are characteristics we look for in an appropriate candidate for dental implants:
- Individuals missing one or more teeth for any reason
- Candidate with overall good oral health
- A person having sufficient jawbone density
- Those with loose or uncomfortable dentures
- Those dedicated to proper oral hygiene
- Adults with fully developed jaws
Benefits of Dental Implants:
The following are undeniable perks of considering dental implants:
- Restore natural functionality
- Exceptional durability and longevity
- Protect adjacent natural teeth
- Unmatched stability and confidence
- Restore chewing power
- Enhance aesthetics
- High success rate up to 98%
- Support overall oral health
Why Choose Us?
Enfield Royal Clinic is a top aesthetic clinic in Abu Dhabi with an established reputation and over a decade of experience. Our approach integrates world-class expertise with modern technology to make sure your journey is comfortable and spectcular.
Here is why we stand out as a leading choice for clients:
- DOH-licensed Dentists and Experts
- Commitment to the Highest Standards
- Personalized and Comprehensive Care
- Comfortable and Royal Setting
- Affordable Prices
Book Your Consultation Now!
Ready to start your journey? Schedule your personalized consultation where we can fully assess your needs. The process of Dental Implants in Abu Dhabi is simple and transparent. You can book our services by filling out the appointment form below or by calling us. Hurry up and seize the opportunity now!
FAQ’s:
What if my Teeth Have Been Vacant for a While?
You may need bone augmentation or bone grafting for an implant. Because the cheekbone contracts as a result of prolonged tooth loss.Â
What if I am Suffering from Diabetes?
You can still be a recipient if you have controlled diabetes. You can also discuss it with your dentist during the consultation.
What is the Recovery Period Like after the Surgery?
There may be some swelling and discomfort during the initial days. This can be easily managed with medications.
Will I Have a Gap in my Smile During the Rehabilitation Period?
We can provide you with a temporary crown to maintain your appearance. While the implant integrates beneath the gum line.
How Often Do I Need to Visit the Specialist After the Procedure?
You need to continue your routine checkups just like before. The standard routine for seeing a dentist is one visit after 3 to 6 months.
Will I Be Able to Eat Naturally After the Implant?
The chewing function is almost 100%. This will allow you to eat tough and crunchy food without any fear of slippage or pain.








Start