A smile is the universal language of kindness, a simple gesture that transcends barriers and connects us all. It’s a gesture that radiates warmth, expresses joy, and conveys confidence. But what if your smile is hiding its full potential behind a curtain of neglect? If you are searching for Teeth Cleaning treatment then you have arrived at the ideal destination to achieve a bright smile. Continue reading to learn more about Teeth Cleaning in Abu Dhabi and book an appointment now and visit our clinic today.
Quick Facts:
- Cost: 199 to 999 AED
- Results: Enhanced Smile
- Back to Daily Routine: Post-treatment
- Procedure Time: 25 to 40 mins
Table of Content
Why is the Method Done?
The method is done to eliminate the plaque & calculus from the dental components. The treatment not only permits the candidates to remove tartar but also reinstate the radiant shine and color of the teeth. This method assists the individual in scraping away dental diseases, bad breath, and so much more. Moreover, the method helps in cleaning the site between the teeth and the gums, lightening the enamel, polishing them, and ending with mineralization.
What are the Causes of Teeth Stains?
The causes of teeth stains and discoloration can be due to environmental and individual factors. Some of these causes are mentioned below:
Causes of Teeth Strains:
- Dietary Habits: Sugary and starchy foods can promote the growth of harmful bacteria, leading to tooth decay.
- Poor Oral Hygiene: Neglecting regular dental check-ups can result in undetected issues that lead to strain.
- Tobacco: Tobacco use can also lead to tooth discoloration.
- Inadequate Fluoride: A lack of fluoride, either from water sources or dental products, can weaken enamel, leading to strains.
- Medical Conditions: Some medical treatments and medications may also affect oral health.
- Aging: Natural wear and tear occur with age, leading to thinner enamel and increased susceptibility to strains.
- Genetics: Genetic factors can influence susceptibility to cavities and other dental problems.
Importance of Teeth Cleaning:
Teeth Cleaning in Abu Dhabi at our clinic is a famous procedure and its importance cannot be neglected as we deal with many dental treatments daily and interact with different candidates for orthodontic problems. Our teeth cleaning treatment is tailored according to the personal needs of the candidate and holds the following importance for them:
- Enhanced Aesthetics: Bright, white teeth improve your smile’s appearance and boost self-confidence. A cleaner smile can make you look more youthful and attractive.
- Boosted Self-Esteem: Clean teeth can enhance self-esteem and self-image. Feeling good about your smile can positively impact social and professional interactions.
- Stain Removal: Teeth cleaning eliminates stubborn stains from coffee, tea, red wine, and tobacco. It can also lighten intrinsic stains caused by aging or medications.
- Improved Oral Hygiene: Candidates who invest in teeth cleaning often become more conscious of their oral hygiene. This leads to better overall dental care habits.
- Special Occasions: Teeth cleaning is popular before weddings, job interviews, and special events. It ensures a radiant smile for important moments.
- Minimized Appearance of Dental Issues: Cleaner teeth can make minor dental imperfections, like gaps or irregularities, less noticeable. It provides a cost-effective cosmetic solution.
- Long-Lasting Results: Professional teeth cleaning offers longer-lasting results compared to over-the-counter products.
- Dental Health Awareness: Routine dental visits for cleaning allow dentists to monitor and address other oral health issues.
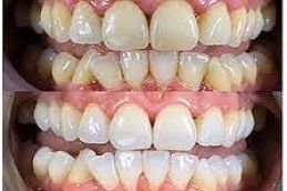
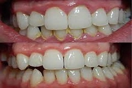
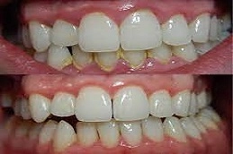
Teeth Cleaning Before And After:
The method will result in clean, healthy, and long-lasting protection. In just 45 to 60 minutes the client will be able to see the outcome, which means the result is instant, and they standardly last from 6 months to 3 years. Results can further be prolonged by good maintenance, cleanliness & touch-up sessions.
Benefits:
- Restrain from the decay & cavities of tooth
- Prevent the diseases of the gum
- Eliminate Dental stains
- Prevents bad breath
- Enhances the overall health
- Long lasting outcome
Ideal Candidate:Â
As per Enfield Royal Clinic, the perfect individual for the process is the one who is observing the below conditions:
- Gathering of tartar.
- Rigid plaque on the enamel.
- Appealing to have white pearly teeth.
- Individuals who are addicted to food items that contain caffeine or leave color behind.
Technologies Used:
The table below explains the technologies used for teeth cleaning at our clinic:
| Technology | Description | Price (AED) |
| Ultrasonic scaler | Uses high-frequency sound waves to remove plaque and tartar from teeth. | 199 – 399 |
| Airflow polishing | Uses a combination of air and water to remove stains and polish teeth. | 199 – 299 |
| Prophylaxis | A professional teeth cleaning that includes scaling, polishing, and fluoride treatment. | 299 – 499 |
| Periodontics | Treatment of gum disease may include deep cleaning, root planing, and scaling. | 499 – 999 |
Recommendations by the Dentist:Â
The individual will be required to follow the below tips to prevent & take care of the early-mentioned side effects, the tips are:
- It is recommended to utilize desensitizing toothpaste.
- Use a suggested mouthwash.
- Do salt-water rinse(with warm water).
- Use medication painkillers if observing any pain.
- Follow the guidelines provided by the dental surgeon.
How is the Procedure Carried Out?
At Enfield Royal Clinic, we have proficient experts who help individuals keep beautiful and healthy teeth for a long time. Below are the steps that are performed to accomplish the process.
- The dental surgeon will evaluate the condition of the candidate.
- During a consultation, the doctor will decide on the method. The selected method will be carried out according to the condition of the patient.
- In a few cases, the dentist will administer oral anesthesia to make the client comfortable.
- Teeth Polishing will be done with a special paste to eliminate microcracks & sanding to make the enamel soft and smooth.
- Brushing will be done at the dental clinic, after that, an agent of prophylactic will be utilized to fluoridate the enamel. This will ease the client to prevent tartar forming.
- To make results effective patients will have to follow post-care measures.
Teeth Cleaning in Abu Dhabi:
At Enfield Royal Clinic we offer you affordable dental treatments that have effective and long-lasting results. Our clinic has the best dentist equipped with modern technology helping our clients achieve their goals of a bright and beautiful smile. We are tailored according to candidates’ personal needs and according to their oral conditions helping in achieving effective results. The price of teeth cleaning at our clinic starts from 199 AED. This initial cost can be affected by some other factors as well.Â
Factors Affecting Cost:
- Teeth Conditions.
- Technology Used.
- Skills of Dentist.
- Location of Clinic.
Book now for a Sparkling Smile and Fresh Breath!
If you are willing to invest in a more cleaner and brighter smile we recommend you book an appointment now for Teeth Cleaning in Abu Dhabi at our clinic by filling out the form below.
FAQ’s:
Do tooth-whitening ingredients damage your tongue?
No, ingredients don't damage your tongue because they are used according to the sensitivity of your tongue.
Can I take teeth whitening treatment with veneers or crowns?
Yes, you can take this treatment with veneers but sometimes the surgeon first removes veneers and then carries your process.
Can I take the tooth whitening process on artificial teeth?
Yes, You can take this treatment on artificial teeth but this is a careful process because artificial teeth are weak.
Does teeth whitening reduce tooth decay?
Yes, this treatment effectively eliminates all the bacteria and gives instant relief to tooth decay.
Does this process suitable for children?
Yes, this is a very safe process and gives whitening effects to your child's teeth in no time.











Start