Make your smile great again at Enfield Royal Clinic, Dentist is our Profession, but Candidates are our Focus!
Ceramic veneers are the well-known & effective choices for dental micro prosthetics, anyhow, to revitalize the smile our specialist guides obtain E-Max Veneers in Abu Dhabi and avail of the outstanding perks!
Table of Content
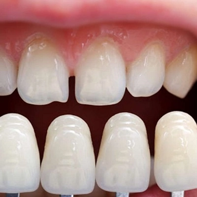
Emax Veneers:
E-Max Veneers in Abu Dhabi is a kind of powerful, thin ceramic porcelain that is connected to the front surface of the individual’s teeth with the aim of increasing their function & look. These are ever-lasting & cosmetically increase the grin permanently. At our clinic, we have the latest technique that is performed by our proficient and expert doctors.
Quick Facts:
- Procedure time: 4 to 5 hours
- Results last: for 15 to 20 years
- Side Effects: swelling or discomfort on the skin
- Cost: AED 400 to AED 1000
- Downtime: 10 to 12 days
- Procedure type: Non-invasive procedure
A Little More:
As per Enfield Royal Clinic, they are baked in the oven under high pressure to refrain from porous surfaces. And because of this quality, they can be seated on the teeth with fillings & can bear tough chewing & will not impose conditions on the way of life & nourishment.
Emax Veneers Before & After:
The results of E-Max Veneers in Abu Dhabi are very evident, as the individual will attain a thoroughly different sensation of teeth & an amazing look. Furthermore, it delivers a more consistent smile & chipped, it assists in hiding teeth that are broken while making the teeth placed.
How Prolonged Do the E-max Veneers Last?Â
We are happy to tell our valuable clients that the amazing part of the procedure is that it lasts for 15 to 20 years or even for a lifetime.
The renovated and reinstated teeth will not be utilized to open bottles, break nuts or bite hard fruits. Â
Emax Veneers Pros and Cons:
There are numerous perks and a few cons associated with the treatment. They are as follows:
The Pros:
- Thickness
- Color-Fastness
- Durability
- Strong
- Highest Strength
- Stain-resistant
- Natural & Aesthetic results
The Cons:
- Irreversible
- Long Administration Treatment
Ideal Clients:Â
In the event that any competitor isn’t happy & satisfied with their grin because of the unwanted design and look of the teeth, then here at Enfield Royal Clinic, the therapy is best for you. Below are further mentioned the criteria for the perfect candidate:
- Observing gap.
- Have misaligned teeth.
- Appealing to have a radiant smile.
- Have crooked teeth due to any trauma.
- Having a yellowish or discolored appearance.
- Willing to have a safeguard from preventing any stain.
Preparation:Â
The contender will need to visit the dentist to attain an optimal outcome, the dental surgeon will recommend a few tips for E-max veneers preparation. They include:
- Prior to the method, the contender must plan for the upcoming smile that they are appealing for with the assistance of enduring imprints and the modeling of wax.
- By taking expressions, models are cast from which the dentist will select the shape to get the most desired and appealing look.
- Meanwhile the phase of modeling, the dental surgeon will pace the future veneers in the wax-up, consult, enhance, & attain an appealing outcome.
How are they Fitted?Â
Fitting of the ceramic veneers in the clinic will take approximately 1 and a half hours. After installation, the contender will be advised to see the clinic after 14 days to evaluate the situation & then after 4 & 5 months. Furthermore, our experts provide the option of a trial smile so the client can see what will be the final appearance.
In the initial stage, the dental expert will grind the components on which the veneers are fitted. After this, the selection of the color is carried out. The method has all available options of shades & intensity of transparency.
After the development of veneers, obsession is done with a flowable photopolymer. The texture is for starters cut with corrosive, and then the bond is managed to the scale and the tooth. This is finished underneath the impact of UV light & solidification occurs.In the last stage, cast Emax veneers are connected to the front shell of the teeth with the assistance of cement dental resin. After the procedure, the newly connected veneers look exactly like your natural teeth due to the better transmission of the light & its translucency.Â
What Should be Done for the Aftercare:Â
These are effective & stay for many years, possibly for a lifetime. But the candidate will be required to follow sessions annually to maintain the outcome and keep good dental hygiene by flossing, brushing the teeth in the morning and in the evening, and rectifying the eating habits that can assist the individual to make a long-lasting result. There are a few more tips that are required to follow, they include:
- Rinse the mouth with dental floss.
- Prevent smoking.
- Refrain from drinking alcohol.
- Refrain from eating hard food.
Emax Veneers Cost in Abu Dhabi:Â
The charges of the method at Enfield Royal Clinic start from AED 400 to AED 1000. The cost will vary from candidate to candidate, there are various other elements that impact the cost of the treatment for instance the proficiency of the doctor, reputation of the clinic, complexness of manufacturing the technique, the desirability, and a few other expenses.
Get a Beautiful Smile at Our clinic!
If any client is appealing to reinstate and rejuvenate their smile, attain E-Max Veneers in Abu Dhabi at a very reasonable price. To know more, pick up the phone and book us right away to avail of the amazing perks. We assure to deliver you the most guaranteed, amazing, and utmost outcome that our valuable contenders will cherish for a lifetime!
FAQ’s:
Can Emax veneer be replaced after damage?
Yes, Emax veneers are irreplaceable. In case of any injury, the doctor dislocates the old veneer with a new one.
How Emax veneers are different from other types of veneers?
Emax veneers are made up of lithium disilicate ceramic that provides extra strength and durability. Due to their main ceramic ingredient, they are different and effective from other types of veneers.








Start