White teeth attract everyone and make your smile catchy and aesthetic. Everyone wants to have this smile and clean teeth as these are also a reason for good health and oral hygiene. When you have tartar and plaque on your teeth it looks so embarrassing and you cannot even talk easily with others as it feels like they will focus on your dirty teeth and will get a bad impression because teeth are an important part of personality and it impacts the impression. But these teeth can be treated and you can get clean white shiny teeth with our teeth polishing & scaling Treatment In Abu Dhabi!
Table of Content
Aim of Treatment:
The reason for the scaling and polishing is to provide white and clean teeth to people. So that their oral health enhances and this also prevents them from getting other diseases like gum diseases i.e gingivitis. First, the scaling is done to remove all the debris and plaque from the teeth, and then the polishing is done to make the teeth finer and smooth.
Why do we need Scaling?
 Because by brushing the teeth simply, the tartar and plaque cannot be removed. So, people additionally need treatment to make their teeth clean and white. The deposits are so hard that it’s not possible to get them away by brushing only. This is also important to prevent other gum diseases which can otherwise happen. We should go for scaling and polishing to keep our teeth healthy.
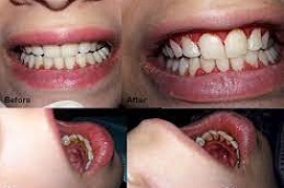
Outcomes of the Treatment:
The results of treatment are long-lasting depending on the care you do after the treatment. It enhances your teeth look also the problems related to the gum are solved after this treatment.
The patients who get this treatment from our Enfield Royal Clinic have felt a proper difference in their before and after results. They were happy with the result and they reported that the results were permanent. Â
Advantages:
Advantages related to the treatment are as follows:
- A shiny teeth appearance
- No more yellow teeth
- Absorption of fluorine increases
- Strong gums
- Painless procedure
- No downtime
- No more tartar and plaque
Ideal Candidate:
The individual who has the following signs are ideal one for the treatment:
- Tartar among the teeth
- Plaque on tooth
- Gum disease
- Gingivitis
- Bad breath
- Want to get an attractive smile
- White teeth wish
Procedure:
The procedure of Teeth polishing & scaling Treatment in Abu Dhabi starts with the assessment of teeth. First of all, the doctor will examine the teeth to check out all the problems related to the enamel. Then the doctor will go through the process called scaling in which the teeth of the patient will be scraped and all the debris and waste will be scratched out by utilizing a machine. During the scaling process, a pipe with pressure will be placed in the mouth which will take out the residue, the moment they are scratched out. After that, the teeth will be honed, and to make them smooth and shiny teeth polishing will be done. This polishing step will remove the stains from the teeth and will make a protective layer on them. After all this, the doctor will allow the patient to rinse the mouth properly.Â
After Care:
After the treatment, you might need some extra care as because of the procedure you may feel some irritation and bleeding. To find out that your teeth are working properly and there is no issue because of the treatment the doctor will examine your teeth. Sometimes, after the treatment spaces between the teeth are made and these spaces can be decreased with time, but if the gaps increase with time, then the doctor will go for other treatments that will remove the gaps.
Also, the proper brushing of teeth after the treatment is significant as it will keep your oral hygiene and then you will not require more sessions. Go for regular checkups to be aware of your teeth condition and to know if there is a problem or not, to stop the disease from getting worse.Â
Side Effects:
- Swelling
- Redness
- Irritation
The side effects are minimal and these will fade away with time. The side effects are negligible if we compare it with the results as we get aesthetic and healthy results.
Cost of the Treatment:
The price for the treatment ranges from AED 300 to AED 400. The rate depends on the type of procedure we opt for. The location of the clinic, the standard of the clinic, the expertise and qualification of the dentists, the number of sessions, and also the condition of your teeth.Â
The demand of the doctor will also decide the final cost.
Why Choose Us?
Enfield Royal Clinic is best known for the remarkable results of its Teeth polishing & scaling Treatment In Abu Dhabi. You can also get this treatment to make your smile beautiful and attractive. We are offering this treatment at a reasonable price with asthetic results. Our main focus is the hygiene factor. Because this treatment is related to the mouth so we use all sterilized equipment to clean your teeth and carry out the process with precautions. You can get the treatment to make your teeth white and healthy at our Clinic. So book a Free appointment!Â
To have a piece of advice from us feel free to contact us and fill out the form given below











Start