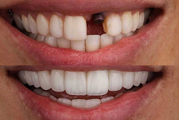
Teeth are an essential facial feature, their loss due to an injury can impact the whole personality and the smile of a person suffers. Imagine if some treatment can convert your incomplete smile into a catchier one! This way you can smile confidently. Obviously, it’s worth even imagining then why should not go for it? We are grateful that with the efforts of our doctors and new technologies, we can place a tooth between the teeth to fill the blank area which will resemble the original one and no one can comprehend that you have undergone any treatment. Read more about Dental Implants in Abu Dhabi by scrolling the page down!
Table of Content
How to Define Dental Implant?
It’s a process in which a metal screw or support will be put inside the mandible to position a fake tooth among the original ones. Utilizing this method, your missing teeth will be substituted and you will feel complete.
There are various kinds of dental implants for which people can go. It acts as a support to further teeth and enhances the chewing ability of a person. Dental implants are assertive and permanent.
Classes of Dental Implants:
Endosteal Implants:
The implants are manufactured of titanium metal and screwed inside the jaw bone. An ending that is coming up from the jawbone will be utilized to set the prepared tooth in that area. The method is a common one. Most people go for this type.
Subperiosteal Implants:
To keep the fake tooth the physicians position the screw inside the jawbone but when the jawbone of an individual is weak and is not able to sustain the tooth that will be positioned. The medic will use this
Zymatic:
This sort of implant is used when the jawbone becomes less supporting in screwing. This is a really complex remedy so professionals must be experts.
Other Techniques that Can be Used:
Bone Augmentation:
When the jaw bone is not rough to keep the procedure extra bone is utilized also called bone grafting. Bone additives are operated to support the methodology.
Sinus Lift:
This is the addition of bone between the molar & premolars when the upper jawbone is weak. In this treatment, the sinuses are aside to do the procedure.
Ridge Expansion:
This method is also applied when there is a shortage of the jawbone. Then the ridge bone is cut inside and from the outside to proceed with the therapy.
Outcomes of the Cure:
The effects of Dental Implants in Abu Dhabi are long-lasting and enduring. The outcomes rely on the skills of the doctor. It causes your teeth naturally beautiful. 90% to 95% of the implants get successful.
Who is the Perfect Candidate?
- Anyone who wants to improve his smile and is passionate about getting the treatment.
- Adults go for treatment.
- A candidate who does not have a medical history.
- Anyone who has enough jawbone to support the treatment.
- No smoking
- No alcohol
- Healthy body
- Healthy gums
- No gum disease
Benefits:
The therapy has various benefits and it will deliver you the look you desire. The advantages of the technique are given below:
- Enhanced appearance
- Boost confidence
- No downtime
- Improved oral health
- Inexpensive treatment
- The newly implanted tooth will be completely similar to the old teeth
- Sweetens the chewing proficiency
- Enriched speech ability
- Chances of other oral diseases will reduce
- Make your gummy smile.
Procedure:
- Before the procedure, the doctor will do some preparation for the convenience of the treatment such as the size of the screw will be measured and the tooth will be made according to the patient’s original teeth size.
- When the specific tooth will be formed, the doctor will go for the method. To begin the method, the doctor will first use anesthesia on the patient and then insert the metal screw into the jaw.Â
- Then, the gum will be parted by cut, and with the aid of a drilling apparatus, a hole will be created inside the jawbone of the requisite size then the implant will be set on that screw and the lower portion of the implant will be sealed.
- The process will take a week or additional to conclude relying on the condition. After a certain time like 5-6 months, the doctor will insert the crowns and prosthesis into the jawbone.
After Care:
As the treatment will be done, a patient then has to be careful of himself as the treatment involves cuts and bruises. The patient will bear some swelling & bleeding. To get instant recovery following care must be accomplished by the patient.
- Do not eat harsh or hard food that can sabotage the tooth.
- Use cooling pads to relieve the inflammation and discomfort
- Do not smoke after the treatment
- Utilize mouthwashes to control the infection
- Do not drink alcohol
- Avoid carbohydrates because they can harm the tooth
- Brush your teeth properly
Fee of Dental Implants in Abu Dhabi:
The Dental Implants Cost in Abu Dhabi ranges from AED 3,000 TO AED 4,500. The price of the therapy varies because of different aspects such as the complexity of the cure, the qualification of the doctor, the expertise of the therapy, the standard of the clinic, & also the demand of the doctor.
The final expense of the therapy will be decided by the doctor after the consultation part. There the doctor will check out the condition of the teeth and then the cost will be decided.
Why Enfield Royal Clinic?
Enfield Royal Clinic is popular because of its best dental treatments. You can get your Dental Implants in Abu Dhabi at a reasonable price from the Best Dentist in Abu Dhabi. Our staff is friendly and you can get advice according to your interest. Also, you can have a consultation with our doctors so that they can get their treatment easily. Grab this opportunity and fill out the form given below!









Start